Signed in as:
filler@godaddy.com
Signed in as:
filler@godaddy.com
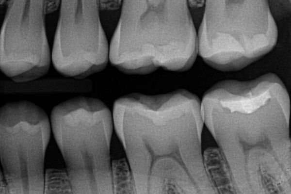
Digital dental x-rays are an essential tool for diagnosing and monitoring your oral health. Instead of traditional film, digital x-rays use an electronic sensor to capture highly detailed images instantly. This allows your dentist to detect cavities, evaluate bone levels, check for infections, and plan treatments with exceptional accuracy — all while keeping your visit quick and comfortable.

• Significantly lower radiation
Digital sensors require far less radiation than film, often reducing exposure by 60–80%. This makes them a safer option for patients of all ages.
• Instant, high-resolution images
Because the images appear immediately on-screen, your dentist can review them with you right away. Digital files also provide better clarity and can be enhanced (zoomed, brightened, contrasted) to identify issues earlier.
• More comfortable and efficient
Digital sensors are designed to fit comfortably in the mouth, and because there’s no need to develop film, appointments are faster.
• Environmentally friendly
With no chemical developers or physical film, digital radiography is more sustainable and eliminates hazardous waste.
• Easy storage and sharing
Digital images are saved directly to your dental record and can be securely shared with specialists or insurance providers when needed.

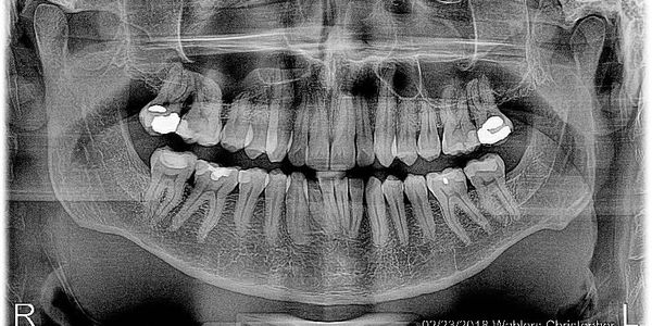
A panoramic x-ray is a specialized dental imaging technique that captures your entire mouth — teeth, jaws, and surrounding structures — in a single, wide-view image. Unlike standard bitewing or periapical x-rays that focus on small areas, panoramic x-rays provide a comprehensive overview, helping your dentist assess overall oral health and detect issues that might not be visible in traditional x-rays.
Panoramic x-rays are commonly used to:
• Full-mouth view in a single image: Offers a complete picture of your oral structures without taking multiple small x-rays.
• Non-invasive and quick: The process is comfortable, with minimal patient effort. The machine rotates around your head, capturing the image in seconds.
• Lower radiation exposure: While panoramic x-rays cover a larger area, modern digital systems keep radiation low.
• Helps in early detection: Provides valuable insights into hidden dental issues, allowing for early intervention and more effective treatment planning.
.jpg/:/cr=t:0%25,l:0%25,w:100%25,h:100%25/rs=w:600,cg:true)
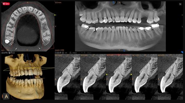
A Cone Beam CT (CBCT) scan, also called a 3D dental x-ray, is an advanced imaging technology that provides a three-dimensional view of your teeth, jaws, sinuses, and surrounding structures. Unlike traditional 2D x-rays, CBCT captures the full anatomy in high detail, giving your dentist or oral surgeon the most accurate information for diagnosis and treatment planning.
CBCT scans are especially useful for:
• Comprehensive, three-dimensional view: Provides a complete picture of your oral anatomy, revealing details that 2D x-rays may miss.
• Precise treatment planning: Helps your dentist place implants or perform surgery with greater accuracy, improving outcomes and reducing risks.
• Low radiation for 3D imaging: Modern CBCT units are designed to minimize exposure while delivering detailed images.
• Quick and non-invasive: The scan typically takes less than a minute, and you remain seated or standing during the process.
• Improves communication: 3D images allow your dentist to explain findings clearly, helping you understand your treatment options.